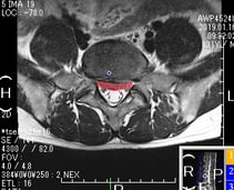
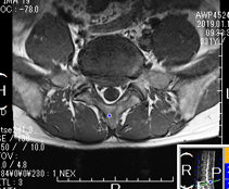
椎間板ヘルニア
30代 男性 デスクワーク
野球 子供と遊ぶ
主訴 腰の痛み
2年前から腰痛を感じ少しずつ悪化、1年前に整形外科を受診し、MRI検査で椎間板ヘルニアと診断される。
湿布、リリカを処方してもらい服用するが効果がなく、リモートワークで生活習慣が変わりさらに悪化、当院を受診。
ポイント
関節調整・スーパーライザーにてヘルニア該当部位への組織の治癒過程の促進, 炎症の鎮静や微細循環の促進,浮腫の改善・
フラットバック(腰椎前弯消失)・腰椎減圧・仙腸関節・特に股関節の柔軟性向上ストレッチ
結果
3週間で3回の施術にて7割症状改善
状態が安定しているので様子を見るとのことで終了。
習得されたこと
・椎間板減圧の重要性(睡眠など)
・椎間板立位減圧法(日常の立った状態で腰椎圧力を解放)
・腰椎腹圧安定法(腹横筋を使い腰椎を保護)
・腰椎前弯大腰筋股関節屈曲法(腰痛になりにくい前屈み方法)
・酸素呼吸胸郭伸展法(理想的な胸郭の使い方/小さくなった体を大きく使う)
・酸素/呼吸の重要性(生理学的細胞レベルで酸素の重要性)
・腰椎前弯の重要性(前弯が椎間板と起立筋を保護)







