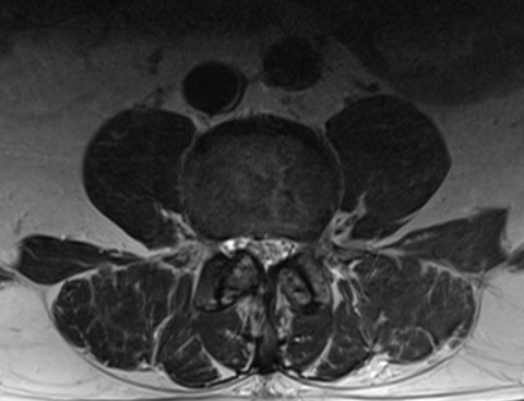
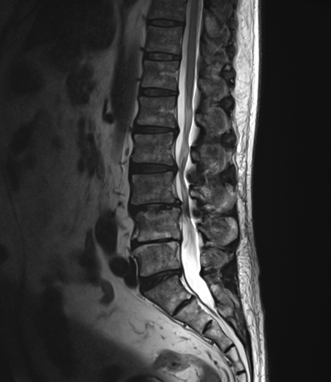
腰椎すべり症/ 脊柱管狭窄症
60代 公務員
主訴 腰痛 左下肢痺れ
軽い腰痛は以前からあった
昨日から、腰の痛みと左足痺れにより歩行困難になった
辛くてまともに眠れない
駅まで歩くのに何度も休む
手術はしたくない
視診 左椎間板症状様疼痛回避姿勢
整形外科テスト SLRテスト 20°左(+++)
筋力検査 左長母趾伸筋低下
その他 輻輳反射 左低下
結果
3日後 2回目 筋力検査改善
この間の主な状態
痛み止めが効かない 痛みで寝られない
25日後 9回目 緩和傾向が見られる
少しずつ楽になってきた 歩行も休まなくて歩ける様に回復
一ヶ月後 12回目 大分回復しているので、ゴルフを再開しようと思えるまで回復
SLRテスト(−)
7週間後 15回目 左脛の痺れがやや残るも、9割の症状が改善






