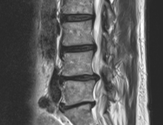
脊柱管狭窄症
73歳 男性 デスクワーク・PC操作
ゴルフ・社交ダンス(現在は休み)
主訴
腰部痛、右下肢の痛み痺れ
既往歴
2年前 前立腺癌 ホルモン剤、抗がん剤にて経過観察中
3年前 睡眠時無呼吸症候群
現病歴
昨年11月に急性腰痛(いわゆるぎっくり腰、背中に電気が走った)
翌日から徐々に症状が強くなっていき腰部~右下肢外側の痛みと軽度しびれ。
鎮痛剤やビタミン剤など処方され服用してきたが変化なく、30年前より毎週ゴルフをしているが、現在は痛くて出来ない。
整形外科にて脊柱管脊柱管狭窄症と診断され、腰に3回注射するも効果なし。
1ヶ月後、右下腿の痺れが悪化、鍼灸、整体、その他運動療法など試したが効果がなかった。
検査所見(初検時)2019年 2月5日
視診:
発赤、腫脹、熱感、萎縮、側弯なし、疼痛回避姿勢あり、腰椎前弯減少
姿勢検査:
頭部前傾姿勢、後傾骨盤
整形学検査:
バレ・リーウ徴候(-)、ソート・ホールテスト(-)、バルサルバ検査(-)、デジュリン3徴候(-)、片足立ち伸展テスト(+)、棘突起叩打テスト(+)、SLRテスト(-)、ブラガードテスト(-)、膝曲がり徴候 左(-)/右(+)、大腿神経伸展テスト(-)、マイナー徴候(-)、膝屈曲テスト(-)、鎮痛傾斜徴候(+)、梨状筋テスト(-)、ケンプテスト(+)、踵・つま先歩行テスト(+)
神経学検査:
触覚検査 右L4、L5領域やや知覚鈍麻
反射:
C5、6、7、 L4、S1 すべて正常
徒手筋力検査(MMT)
右前脛骨筋やや弱化
触診:
L4/L5/S1間の右椎間関節に圧痛と放散痛
腰椎軽度後弯、右起立筋・右殿筋ややスパズム
両仙腸関節機能低下、
脊椎全体フィクセーション(特に腰椎伸展、胸腰移行部、上部頸椎)
治療の考え/矯正(モビリゼーション)による効果
・関節負荷の軽減、減圧、弾力・支持性の改善
・神経の通り道を拡げ、神経の伝達を活性化
・自律神経・ホルモンのバランスの改善
・脳脊髄液の還流促進・髄膜が弛緩
・代謝効率の向上
リスクマネージメント
基本的にアジャストメントは行わない
神経症状の増悪、馬尾症候群、腹部大動脈の破裂といった重大な副作用を回避
補助療法
補助療法としてスーパーライザーの照射
スーパーライザーは、あたたかい光(特殊な波長)で障害のあるところの血行を改善し症状を緩和します。また、神経に直接作用してストレスなどで緊張している神経を平常な状態に戻し血流改善効果によって痛みの悪循環を改善・解放することができ、多くの症状に効果を発揮する。
治療内容
・全脊椎のモビリゼーションによって関節運動機能を改善させる
(特に重要視している部位 上部頸椎、頸椎胸椎移行部、胸椎腰椎移行部、仙腸関節、股関節)
・腰椎椎間関節全部、腰仙関節の牽引操作、足方へ牽引マニュピレーション
・スーパーライザー照射
(星状神経節、L4/5/S1)
・ストレッチング
特に前屈動作により脊柱管を拡げる
(股関節中心に筋膜、筋線維を伸長し柔軟性を向上させる)
結果
約3か月間、13日の通院にて不安感は残るものの概ね改善し、社交ダンスにも復帰した。







