椎間板ヘルニア/すべり症
50代女性 デスクワーク
10年前より腰痛あり、疼痛と寛解を繰り返し、3年前より右下肢の症状が出始める。
半月前から右足の力が入りにくくなり、整形外科にて手術を勧められる。
整形外科での診断は
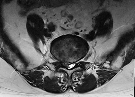
L4/L5レベル 腰椎すべり症
L5/S1レベル 椎間板ヘルニア・右背側に突出
現症状が出てから半月後に当院を受診。
右つま先立ち不可・小趾側の感覚鈍麻(外側足背皮神経)・伸張反射正常
2回通院された後、別の病院や整体に行き、2ヶ月後に再来院される。
その後1ヶ月3回の通院で、全体重をかけなければ踵立ちが出来るまで回復し感覚も戻ってきた。
整形外科病院MRI再検査にてヘルニア消失との見解。
以後週1回の加療にて比較的安定している。







